歯周病 2022.09.21 歯並びも変色した歯も気になる、どうしたら治りますか? 45歳女性、歯の変色と全体的な噛み合わせの崩壊の治療を希望されて来院。 歯の変色の原因は様々、打撲や歯の神経が死んでしま...
歯周病 2022.08.05 グラグラな歯、進行した歯周病、抜かずに治せる?最終章 以前からこの不定期ブログでお見せしてまいりました重度歯周病の患者さんの治療が終了し、2年ほどの経過を追えてますのでご報告...
歯周病 2020.10.01 治療期間5年半、当院チーム治療によってまたお一人安定した噛み合わせを回復されました!! みなさんこんにちは、院長の健造です。 ご無沙汰をして申し訳ございません。 今回ご紹介させていただく症例は以前芋別な患者さ...
歯周病 2019.06.10 総治療期間5年、矯正治療、インプラント治療、補綴治療による全顎咬合再構成! TOPの写真は同一患者の治療前と治療後の比較です。 最高難度の登山に匹敵、我々と共に頂を目指しましょう! 一般的に...
歯周病 2018.12.27 グラグラな歯、進行した歯周病、抜かずに治せる?PART2 進行した(中等度-重度)歯周病,歯槽膿漏の治療は様々! 上の写真は全体的に中等度から重度に進んだ歯周病患者さんの歯石...
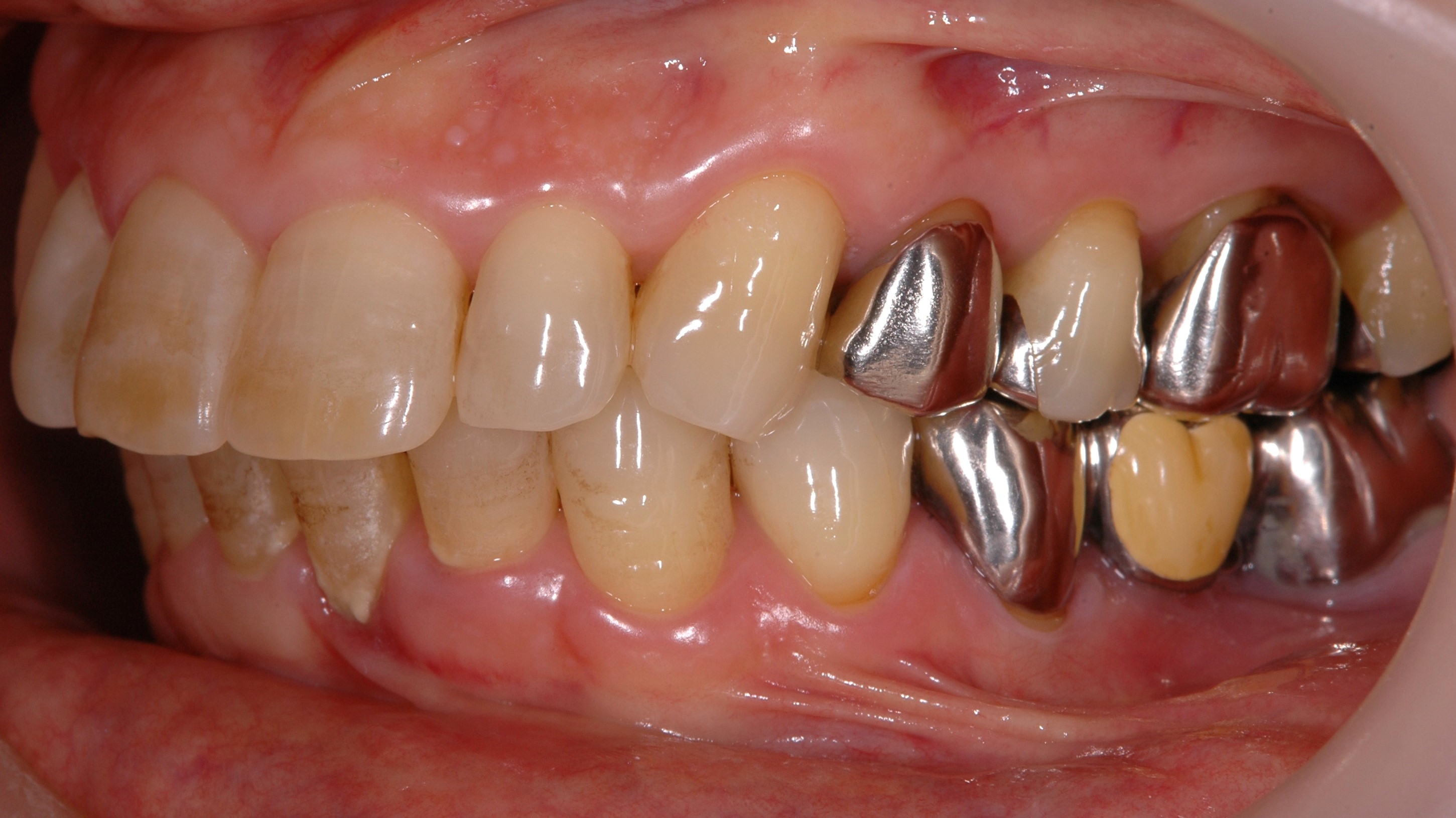
歯周病 2018.11.01 奥歯が無い方必見!奥歯の歯周病治療、歯槽膿漏って治るの?諦める前にご相談ください!! 奥歯が無い方必見!!! 先ずは以下の写真をご覧ください。 下奥歯が痛いと言って来院された患者さんです。 一件なんともなさ...
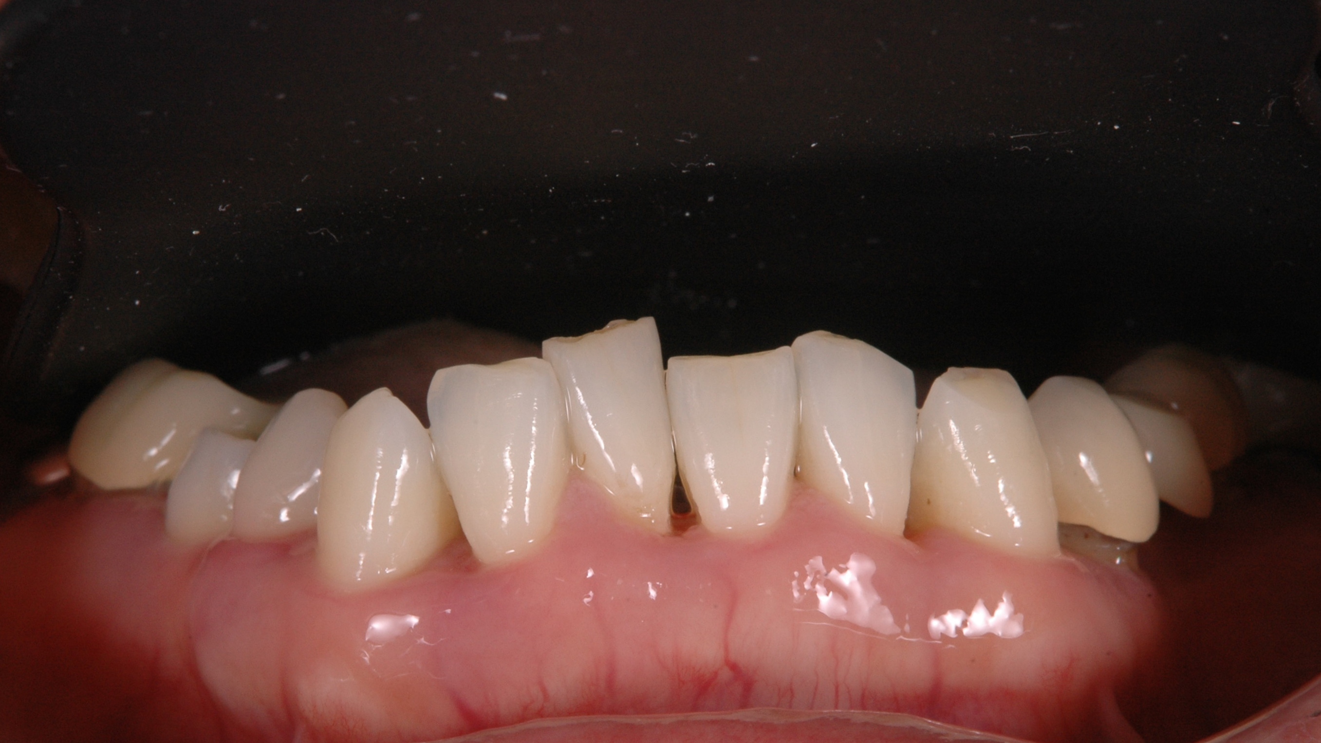
歯周病 2018.10.26 中等度歯周病に対する歯周外科治療わかりやすく説明 グラグラになるまで放置しないで! 先ずは上の写真をご覧ください。向かって左が治療前、右が治療後です。赤丸で囲んだ部分の違いがわかりますか? 左にあった骨の...