みなさんこんにちは、院長の健造です。
ご無沙汰をして申し訳ございません。
今回ご紹介させていただく症例は以前芋別な患者さんをご紹介しましたが、噛み合わせが悪く、歯の位置異常もあり、結果歯周病が進行し、部分的にはすでに数本の歯を失ってしまっている方への総合治療です。
噛み合わせが悪いってどういうこと?
そうですね〜、別な言い方をすれば顎がずれていると申しましょうか、以下の写真をご覧ください。

顎がずれて噛めない
向かって左はこの患者さんが習慣的に噛んでいる写真です。実はこの位置は本来噛まなければならない位置ではなく、この患者さんが食事をして生きていくために変化させた位置で、本来噛むべき位置は右の写真となります!
なぜこの様なことが起こったのでしょうか?可能性が一番高いのは歯科治療ではないかと思われます! え!? 歯の治療で噛み合わせがくるってしまったの?と思われる方もいらっしゃるでしょう。
実は残念ながら結構多く認められます。何処かの歯が悪く歯科医院で詰め物被せ物の治療を行った際にそのものをきっかけに噛み合わせをずらしてしまわざるを得ない状況に陥る方がいらっしゃいます。しかもほとんどの方がこの悪い変化を気付くことがありません。。。

↑初診時のレントゲンを見てみましょう。局所的にかなり歯の周囲の骨が溶けているのがわかります。噛み合わせが原因の特異的な歯周病といえるでしょう。
先ず初期の治療として歯周病に対して歯石を取ったりブラッシングの向上をし、また不良な被せ物を除去し、虫歯治療や神経の無い歯の再治療を行います。この段階で全ての歯の評価を繰り返し将来的に長く良い状態を維持できるのか、あるいはどの様なゴールが望ましいかを考えています。
重度に進んだ歯周病罹患歯は初期の治療だけでは改善しにくい場合がほとんどです。その歯に対して歯周組織再生療法を行なっていきます。


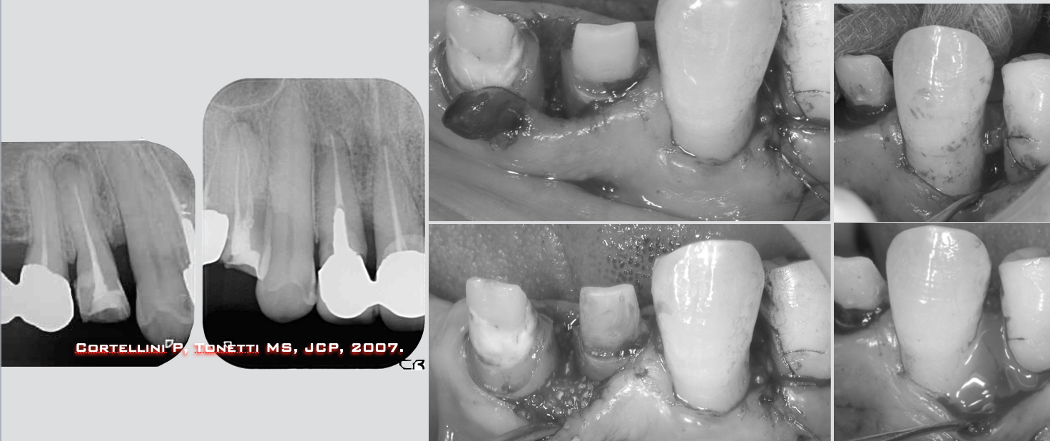
先ずは上顎の前歯と小臼歯に対して。結構難易度が高い歯と歯の間の骨が溶けた部位への治療です(上)。術後1年、良い状態に改善が見られます(下)。


続いて下顎の犬歯の治療です。白黒でわかりにくいかもしれませんが犬歯の周囲の骨がクレーターのように溶けて大きく無くなっています(上)。
術後1年ほぼ元どおりに改善できていると思われます(下)。


術前術後のレントゲン評価です。よ〜くみてください、違いがおわかりになりますか?
歯周病含めて初期に治療完了後にいよいよ矯正治療の診断ステップへ入ります。

↑個々の歯の生えている向きに合わせて仮歯を装着しました。治療前は無理やり歯並びの悪い状態に被せ物が入っていましたが、どうですか?こうしてみるとかなり前歯を中心に個々の歯の向きが様々なのが理解できると思います。
これが今現在の歯の生えている向きで、これを矯正治療で正しい位置と向きに改善します。

様々な向きの歯に仮歯を入れた状態で型を取り模型を作成し、全ての歯を分割しどうしたら理想的な並びになるか設計図を矯正医と歯科技工士と共に作成します。


そして矯正治療の開始です。矯正治療期間は約3年かかりました。
ほぼ術前の設計図通りの位置にはを並べることができたでしょうか。
矯正の治療期間に関しては、歯の移動距離や個体差によって変わりますが概ね2年〜3年を一つ目安にしてください。
矯正治療によって理想的なはの位置への移動が終わり治療のクライマックスである噛み合わせの治療に入っていきます。

↑この患者さんは前歯審美性も気にされていましたので、すでに歯を失った場所への歯肉移植や歯茎の並びの整合性を得るためプラスティックサージェリーを行い、セラミックブリッジで被せ直しました。
神経が無い歯でも適切な治療がされ、異常な力が加わらなければやや大きなブリッジにしても将来がある程度見通せます。もちろん強い歯では無いですから将来(最低10年先)起こり得るリスクもご承諾されています。


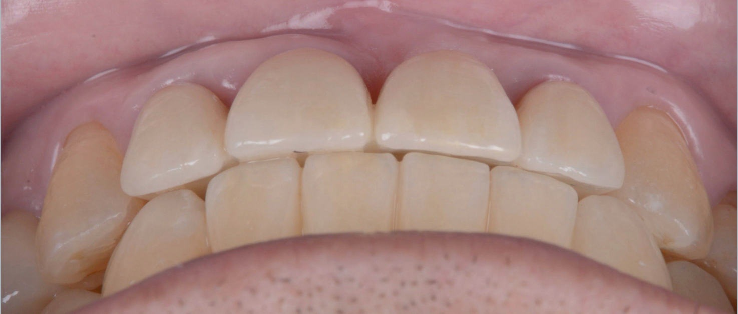
セラミックによる噛み合わせが獲得されました!正常機能ももちろん有しています!!
この方実はやや受け口だったのですが無理のない範疇で正常な噛み合わせを前歯に与えることができましたね。

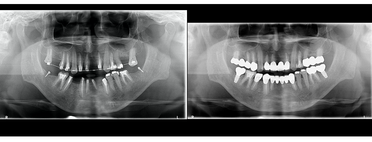
術後のレントゲンです。
下顎最奥歯には左右1本づつのインプラントをお入れし、よりしっかりかめる状態にしました。
インプラントは歯を失った場所への最終最強治療手段であることは間違いありません!でも数はなるべく少ない方が良いですね、というのが25年インプラントをしてきた臨床医の私見です。


当初左にずれていた顎がかみ合わせに治療によってほぼ真っ直ぐになりました。
前歯の噛み合わせも改善できました!安定した再現性のある噛み合わせのポジションを患者さんもご理解し、何事もなく術後5年が経過しました。
おわりに、
この様に崩れてしまった噛み合わせをきっかけに歯周病が進行し歯を失ってしまう方はたくさんいらっしゃいます。
今回もご紹介した総合治療は一生涯で一度のダイナミックに口の中だけでなく、その方の精神面も左右する治療になるでしょう。
お悩みをお持ちの方は是非一度ご相談ください。きっとお力になれると思います。
最新情報をお届けします