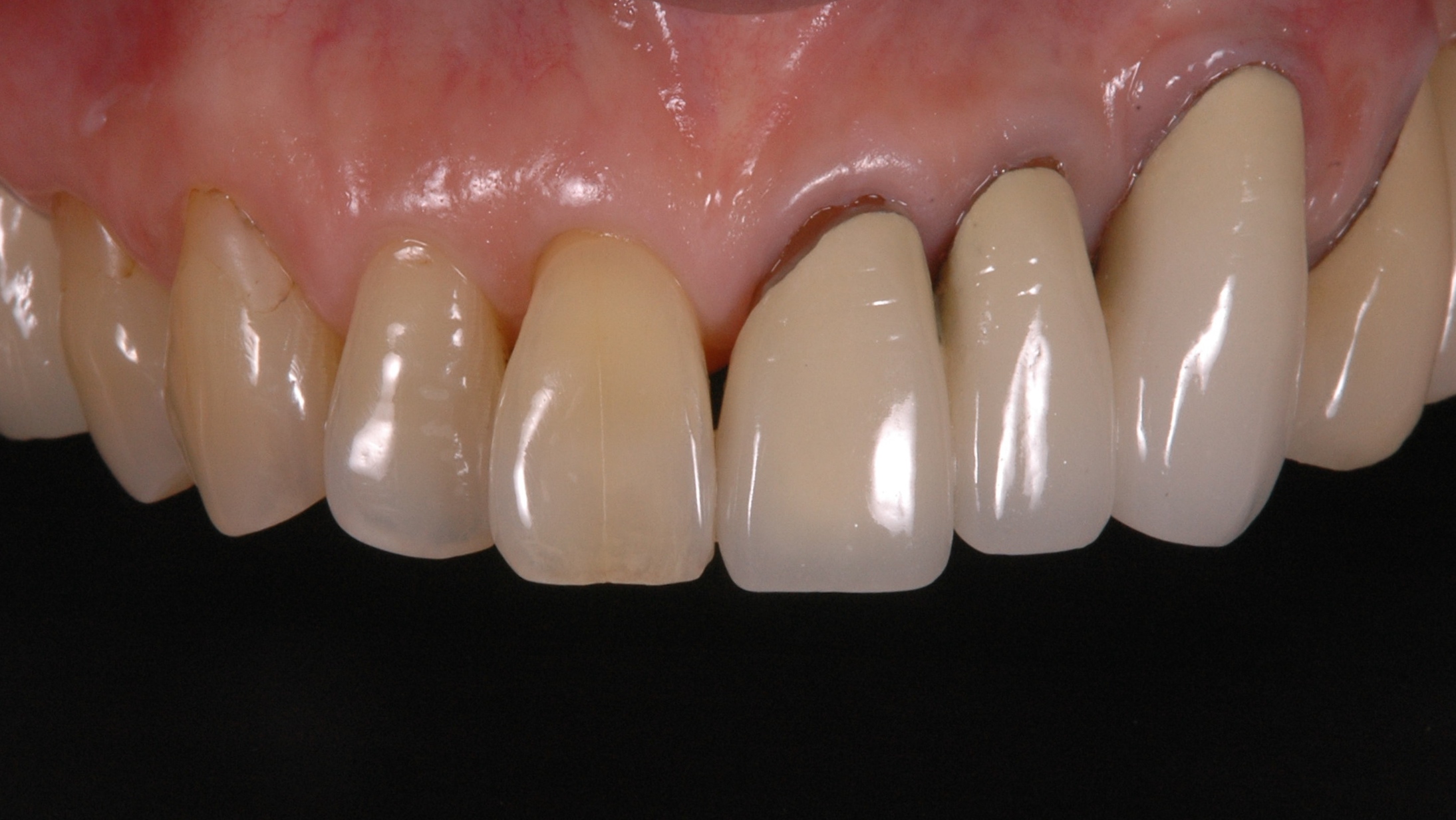
審美治療エステティック 2017.10.03 前歯が長くて気になる、治せますか? あなたはご自分の前歯を気にしていますか? 日に一度くらい鏡の前で笑ってみたり、唇をめくって前歯や口元のチェックをしますか...
審美治療エステティック 2017.09.29 審美治療って何???おさらいしてみよう! しんび【審美】歯科って何? 審美???美容? 英語ではEsthetic エステティック(またはCosmeticコスメティ...