インプラント 2018.10.17 インプラント治療によって取り戻せる頑丈な噛み合わせ もしもあなたの歯がぼろぼろでようやく使える歯が数本しかなく、 食べたり笑ったりすることにとても不自由していたら。。。 ...
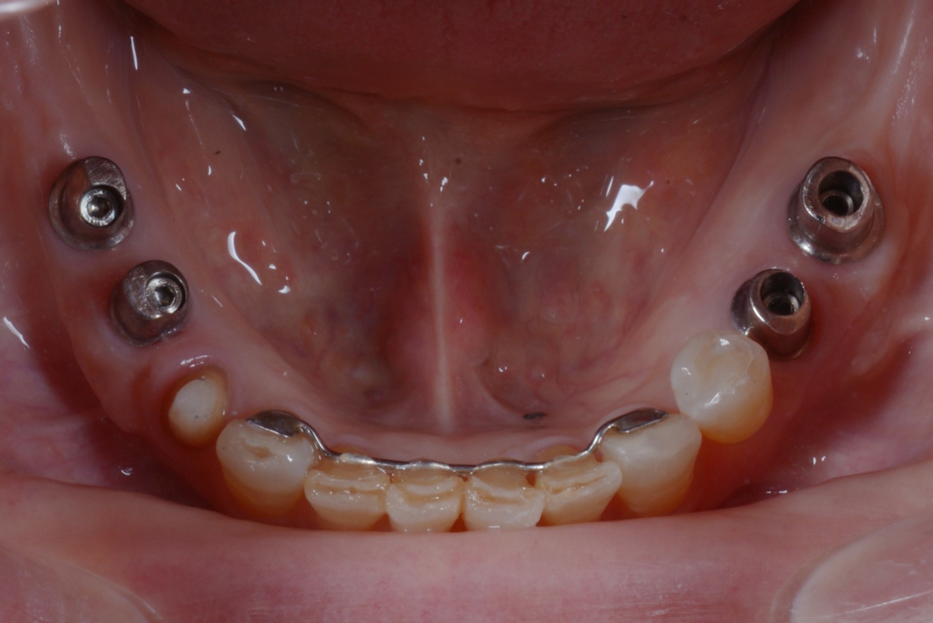
インプラント 2018.10.09 奥歯が悪いと前歯も失ってしまう?!全滅させる前に奥歯のインプラントについて考えてみませんか? 奥歯のインプラント治療 奥歯が悪い、無い方は高確率で前歯を失います! 先ずは以下の写真をご覧ください。 2枚共に左右...
インプラント 2018.06.01 治療された方にしかわからないこの違い!!! ☝歯並び悪く出っ歯が気になり、さらに左上前歯が欠損している方が来院されました。歯並びを治す矯正治療を行い、その後インプラ...
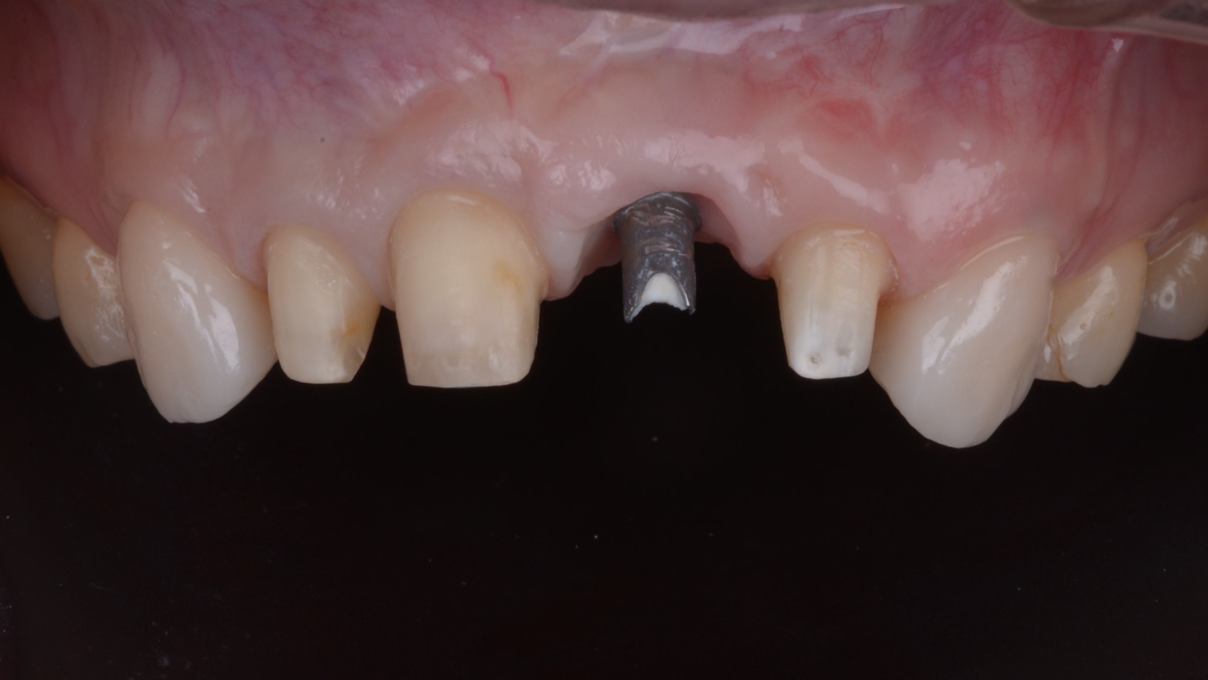
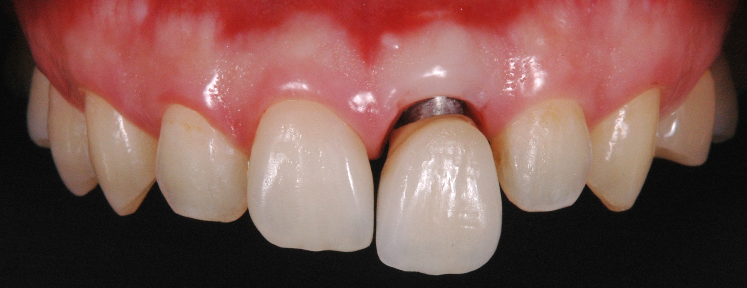
インプラント 2018.05.11 前歯が折れた? 前歯の治療、どこでどんな治療しますか? 前歯が折れた。。。前歯が無くなる。。。 前歯を抜かなければならなくなる。。。放置できないし、インプラントを入れなければな...