自家歯牙移植(歯の移植)とは
自分の歯を「再利用」する、体に優しい再生治療「自家歯牙移植(歯の移植)」とは、虫歯や破折などで残せなくなった歯の場所に、自分の「親知らず」や「機能していない歯」を移し替える治療法です。 「抜歯後はブリッジやインプラントしかない」と思われがちですが、条件が合えば、ご自身の天然歯をもう一度活用できる可能性があります。
ちょっとまって
ブリッジ、インプラントの前に・・・・
その奥歯、親知らず、簡単に抜いてしまって良いのですか?
奥歯を抜かなければならない状況の方は、今一度親知らずがあるかどうか、歯の移植ができないかどうかを検討してください。
歯を抜く基準は歯科クリニックによってばらつきがあります。
先ず歯周病治療・歯周組織再生治療や精密根管治療で保存を試みましょう。
もしそれでもダメな場合は親知らずを移植する自家歯牙移植(歯の移植)を検討しませんか?
歯を抜いてインプラントにするというのは何処の歯科クリニックにいかれても説明を受ける治療方法でしょう。
しかし!インプラントに勝るものはご自身の歯そのものなはずです。
奥歯が既に無くなっている方でも親知らずを移植することで咀嚼能率を格段にあげることが目指せます。
4本の奥歯が無い方でも4本の親知らずが残っていれば適応症になり得るかもしれません。
また、お子さんで先天的に歯の数が少ない場合なども自家歯牙移植と矯正治療により、正常な歯列を回復することが可能です!
小児の先天的歯牙欠損は前歯や小臼歯を中心に認められます。
一般的に小児歯科では移植を推奨しませんが、乳歯から永久歯に生え変わり永久歯の形成が完了する前であれば歯牙移植をしても神経や血管までもが残せる可能性が大いにあります!
歯の移植なんてできるの?
歯の移植は(自家歯牙移植)はどんな時にできるの?
- 歯が折れたり、虫歯で崩壊し、または根に膿がたまり難治性で奥歯を抜かなかればならない場合
- 既に奥歯を抜かれている場合
- その場所にインプラントを入れようかブリッジにしようか考えられている方
以上は移植できる親知らずをお持ちの方が対象となります。
先天的に永久歯が少なく隙間が多く空いていたり、乳歯が悪い状態で遅くまで残っているケース
矯正治療との併用が条件となります。(矯正治療で歯列を並べるにあたって余分、過剰と診断された中間の歯(小臼歯)を足りない箇所へ移植します。
多くは前歯や小臼歯が対象で、インプラントを入れずに自分の歯できちんとした歯並びと機能を回復できる可能性があり、小児から成人までが対象となります。
自家歯牙移植は歴史のある選択肢です。 1950〜60年代より症例が重ねられています。
1950〜60年代より、齲蝕(うしょく/虫歯のこと)におかされた第一大臼歯の抜歯窩に根未完成歯の智歯を移植したり、他家歯牙移植 (現在は行われません)や、外傷により脱臼した歯牙の再植、意図的再植(難治性の根の病気を持つ歯を一度抜歯し根に処置を施し再度同じ場所に埋め戻す)などがされはじめました。
当時は、科学的な背景はなく試行錯誤の歴史でしたが、1970年以降 組織学的、病理学的、生物学的な研究によって、 自家歯牙移植の生物学的原則および移植によって治るという科学的・理論的根拠が確立されました。
自家歯牙移植のメリット
向かって左の白い歯は天然歯、右の金属はインプラントです。
隙間が空いているのがわかりますか? 天然歯とインプラントの決定的違いは歯の根元を覆う組織である歯根膜の有無です。
天然歯は歯根膜からの豊富な血液循環や細菌に対する天然の防御機能を働かせることが可能なので、口内の環境によって柔軟に形や位置を変えながら生体の変化に追随しますが、インプラントにはそれができません。
また、歯根膜は感覚圧受容器でもあります。食べ物の歯触りの感じ方が大きく違います。
感覚に個人差はありますが、インプラントではわかりにくい繊細な食感や、歯触りを天然歯では楽しむことが可能です。
圧感覚閾値(感覚を感じる最小の力)は、ご自分の天然歯の場合、前歯で1〜3g前後、臼歯で4〜10g前後であると言われていますが、インプラントでは100g以上と言われております。同じく噛み合わせも天然歯同士の咬合では25μm(マイクロメートル)の厚みを感知できるところを、インプラントでは55μm~それ以上の厚みでやっと感じることができると言われています。
自家歯牙移植と歯科インプラントの違い
![]() |
![]() |
|
| ドナーの必要性 | 不要 | 必要 |
| 外科処置(箇所) | 1か所から複数 | 2か所 |
| 外科処置(回数) | 1~3回 | 1回 |
| 骨の量・顎堤の幅 | 無ければ再生 | 最低限必要 |
| 骨質 | 影響大 | 影響小 |
| 防御機構 | 無し | 有り |
| 術後の矯正 | 不可 | 可 |
| 若年者への治療 | 不向き | 適用 |
| 高齢者への治療 | 対応可能 | 対応可能 |
| 治療期間 | 3~12ヵ月 | 2~3ヵ月 |
移植の比較
| 生存率(どれくらいもつか?) | |
| 5年生存率 | インプラント 95 % (Fugazzotto et al, 2004) 自家歯牙移植 90 % (Tsukiboshi M, 2002) |
| 10年生存率 | インプラント 90 % 前後 自家歯牙移植 80 % 前後 |
| 2004~2013年までの当院比較 | |
| 5年生存率 | 大臼歯部インプラント50本 → 94 % 自家歯牙移植20本 → 95 % |
| 7年生存率 | 大臼歯部インプラント50本 (24歳〜70歳)→ 92 % 自家歯牙移植20本 (15歳〜65歳)→ 90 % |
生存率についての当院の考察
成功率とはその場にとどまっている数字を表しているため、被せ物の破損や、何かしらのマイナートラブルは必ずしも含まれないことに注意してください。
歯を失う場合、歯を支えていた多くの骨も失われます。インプラントは直接骨と結合するため、しっかりとした骨が十分あることが条件となります。当院では軽度の症例よりもむしろ難易度の高い症例も多くあるため、それらをカウントした場合に自ずと失敗率も上がります。
一方で自家歯牙移植において移植歯が抜歯歯よりも極端に大きくなければ、移植歯の歯根膜、生体の治癒力により失われた骨が誘導されますので、比較的多くの骨を失っている場合でも成功率はあがります。
以上のことが当院に於ける成功率で自家歯牙移植がインプラントを上回っている要因と考えられます。
何をもって成功と言うか:
当初の状態が良ければ、その状態から臨床的に診てさほどの変化が無く安定している状態と考えます。しかし決して不変ではなく変化します。自家歯牙移植もインプラントも5〜10年をひとつの目安とお考えください。
自家歯牙移植(歯の移植)のタイミング
歯の移植のタイミングには大きく分けると 抜歯後即時移植と抜歯後早期移植と抜歯後待時移植が考えられます。
歯牙移植において、できる限り抜かなければならない悪い歯(移植床)の抜歯と移植する歯の抜歯を同時に行った(即時型移植)方が治癒に有利です。
その理由は移植床に歯根膜が存在した方が有利であり、例え悪い状態の歯でもその歯を抜けば抜いた穴の側壁には歯根膜が少なからず残り、また活性が有意に高く生じ創傷治癒が即されるからです。
しかし次のようなケースでは移植床側の抜歯後しばらくしてから移植を行ったほうがよい場合が存在します。
移植床側の歯牙と移植歯とのサイズに大きな差があるケース
移植後、歯肉弁が移植歯周囲360°によらないと予測される場合は、抜かなければならない歯を先行して抜歯し、4〜6週以上歯肉の治りを待ってから移植をします。
移植床側の歯牙に根尖病変や嚢胞(のうほう:言わば細菌の温床)が存在するケース
病変や嚢胞除去すると明らかに移植歯よりも大きすぎる骨の欠損が生じる場合は抜歯後早期移植またはある程度骨が治ってきた時期を見極め対応します。 ※軽度の根の先端の病変は問題ありません。
移植のタイミングによる治り方の違い
| 抜歯後即時・早期移植の治り方 | 抜歯後待時移植の治り方 | |
| 術前 | 抜歯窩への移植の場合、受容側にも歯根膜が残存しています 。 | 歯根膜は移植歯のみに存在します。 |
| 移植直後 | 骨縁上では歯肉と歯根膜を緊密に接合させることができますが、骨縁下では移植歯の歯根膜と歯槽窩(受容側)の歯根膜の間隙には血餅が介在します。 | 骨縁上では歯肉と歯根膜は緊密に接合させることができますが、骨縁下では移植歯の歯根膜と形成された移植床(受容側)の間には血餅が介在します。血餅は2〜6 ヵ月で骨に置き換わります。 |
| 治癒後 | 移植歯と受容側の両方の歯根膜による早期の治癒が期待できます。 | 臨床的な治癒は歯槽窩の歯根膜組織の有無にかかわらず差はないと考えてよいですが、組織学的には、歯根膜線維の正常な機能的配列の割合は少なく乱れています。 移植の予後を決定する最大要因は歯根膜です。過去においては抜歯窩の歯根膜や歯根と抜歯窩の適合度は影響を及ぼさないと考えられていましたが、近年になって抜歯窩の歯根膜の存在が治癒に影響を与えることがわかってきました。 |
治り方のポイント
- 自家歯牙移植における再付着は、歯肉結合組織部では一時的な再付着が、 ソケット内では二次的な再付着が起こることが予想される。
- 歯根膜は二次的な再付着が完了するまでソケット内での生存が可能である。
- 移植歯と歯肉の緊密な封鎖が重要である。
- 移植歯に歯根膜が存在することによって歯槽骨(歯を支える骨)が再形成される。
歯牙移植の症例
CASE
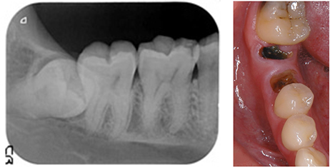
過去に抜いてインプラントにした方が良いと言われ 心配で当院を受診された35歳男性
BEFORE

向かって左端で横を向いてはえているのが親知らずを、抜歯せざるを得ない状態の放置された虫歯に移植します。
AFTER

治療後5年のレントゲンとそのカラー写真です。 この方の反対側の顎の中に埋もれている親知らずを抜歯し、即時移植で治療することができました。
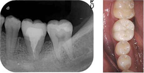
CASE
過去に抜歯と言われ インプラントを薦められた38歳女性の患者
BEFORE

向かって左から3番目の大きな歯が割れており、抜歯を余儀なくされました。

レントゲンです。 割れた歯の周囲の骨が感染により溶けて黒くなっています。向かって最右が移植する親知らずです。
AFTER

感染が大きかったことから割れた歯を抜歯後4週を待って同測の親知らずを移植し、約2ヵ月後にセラミック製のクラウンを被せました。 根の治療が済み、レントゲンは術後3年のものですが、異常なく安定しているのがわかります。
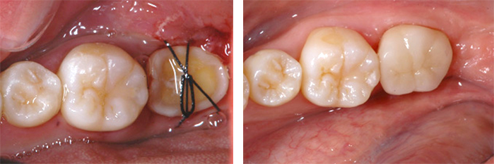
CASE
左下の一番奥歯が虫歯で抜歯となった30歳 女性
BEFORE

虫歯が大きく歯を残すことができずに抜歯となってしまいました。

レントゲンです。 向かって左端上の親知らずを、右下の奥に移植します。
AFTER

左の写真が親知らずを移植した直後のものです。 その後、根の治療をしクラウンを被せた状態の写真が右です。

移植後のレントゲンです。 BEFOREのレントゲンで空白だった部分におさまているのがわかると思います。
CASE
左下奥歯の虫歯が大きく被せ物が取れてきた右上の親知らずを 移植希望の30歳男性
BEFORE

金属の被せ物が取れて、歯の根の方まで虫歯が進行してしまっているため抜歯をしました。

初診時のレントゲン写真です。 向かって右から2番目。歯が割れているため、根のまわりが黒くなっています。 ここにカラー写真の向かって右から1番目の親知らずを移植します。
AFTER

移植し歯を固定ました。

移植から一週間後、根の治療をし土台を立て(写真左)、クラウンを被せました。(写真右)。
自家歯牙移植治療の流れ
-
来院
1回目自家歯牙移植の適応か否かを診断します。(目安: 90~120分 )
・ 問診とカウンセリング
・ 口腔内診査、歯周組織精密検査、歯科用デンタルまたはパノラマレントゲン撮影、歯科用CT撮影
・ 簡単な噛み合わせの診査
・ 顔貌および口腔内写真撮影
・ 歯磨き指導・歯石除去・歯面清掃以上を踏まえて診断します。
その日のうちに治療計画を説明することも可能です。
(ご家族の帯同があればより好ましいでしょう。) ご承諾がいただければ次回は手術になります。
術前投薬(抗生物質:感染予防のための事前服剤:腫れ止めとして用います。時限的な投薬なので副作用の心配はいりません。) -
来院
2回目自家歯牙移植手術
手術時間:通常60〜90分以内で終了します。
局所麻酔のみの場合:〜90分を限度としております。
鎮静麻酔併用:〜150分を限度としております。
※少しでも楽に安全に処置がしたい方には鎮静麻酔の併用をお勧め致します。
(麻酔専門医による鎮静麻酔併用可能:歯科恐怖症、基礎疾患有病者、処置歯数が多い場合等こちらから要望させていただくこともあります。)。 -
来院
3~8回目消毒と抜糸
手術より約2週間後移植歯の感染根管治療(回数はあくまで目安)
手術からおおよそ1〜2ヵ月、噛み合わせを与える。
(但し状況に応じて期間は前後します。)
手術から2〜3ヵ月、問題なければ最終的な詰め物、被せ物をお入れします。 -
術後
3~6ヵ月再評価
術部の治癒の状態を検査し、メンテナンスを含めた今後の対応を検討致します。
術後管理
-
術後
1~3日・ 術後の疼痛 / 腫脹の管理
(あくまで外科手術です。顔が大きく腫れる様なことは通常ありませんが2〜3日腫張はあるとお考えください。)
・術後稀に内出血が顔に生じる場合がありますが、1週間程度で消退します。
・暫間固定の脱離、歯肉への圧入はないかを確認をします。
・縫合部の裂開はないか、食べカスが残っていないかを確認し清掃します。 -
術後
1~2週術後2週までは術部の歯磨きを控えていただきます。
・(歯は磨いていただきます)のでそのフォローをします。
・洗口の指導を致します。
・体に吸収される縫合糸を基本的には用いますが、歯肉が治癒した場合はその糸も取り去ることがあります。 -
術後
2~4週縫い合わせた歯肉が完全閉鎖するまで、術後2~4週の間は週に1度(可能ならばもう少し短期的に)のペースで術部の確認、歯肉縁上プラークのコントロール、プロフェッショナルクリングを行います。
-
術後
1~6ヵ月問題が無ければ月に一度のペースでチェックと清掃に来院していただきます。
患者さんにしていただく術前後管理
手術前
体調管理を万全に!
可能ならば手術は午前中に。
(手術によって通常何も生じませんが、気になることや万が一のために連絡が取れ即行動できる状況が推奨されます。)
術後1~3日
術部の血餅保持のため必要以上の含嗽は避け、歯磨きもしないでください。
微量の出血が2〜3日ありますが貯まった血や唾液はうがいせずに吐き出してください。
不用意に清掃用具を使用すると、術部の歯肉を損傷する可能性があるため注意が必要です。
歯間ブラシはこちらからの指示があるまで使用は控えてください。
※ 手術当日から翌日までの食事に関して
術前は飲食が制限されます。麻酔専門医が前日に直接お電話で様態確認等の問診や飲食指導をします。
術後の食事は流動的なもの、カロリーゼリーのような術部にまとわり着きにくいもの等が好ましいでしょう。
2日目くらいから徐々に固形物が食べれます。
術後2~4週
消毒液による洗口に加え、超軟毛ブラシの使用を開始していただきます。
術後1ヵ月
歯磨き・歯間ブラシの使用を開始。
歯間乳頭部を傷つけないように、歯間ブラシの挿入方向に注意してください。
歯間ブラシはこちらからの指示があるまで使用は控えてください。
| 項目 | 費用 | 備考 |
| 治療計画 立案見積り作製 カウンセリング | ¥11,000 | 60分 (延長30分ごとに¥5,500) |
| CTレントゲン撮影 | ¥25,000 | 3回の撮影まで 当院の歯科用CTの被爆線量は我々が生きている間浴びる自然界1日平均放射線量7μSVの同等以下です。 |
| デンタル14F・ パノラマレントゲン撮影 | ¥6,000 | --- |
| 歯周組織に対する 初期治療 | 保険適用 | 歯周精密検査、全歯牙に対するスケーリング・ルートプレーニング |
| トランスプラント (自家歯牙移植) | ¥250,000 | ドナー(移植歯)歯とレシピエント(保存不能歯)歯の抜歯と移植床の形成等一連の手術費用、薬剤費、消毒費、再評価費 |
| 静脈内鎮静麻酔 | ¥60,000 | 麻酔専門医による出張麻酔: 安定剤を点滴でお入れし、お休みになっていただいている間に処置を完了します。 全身管理を麻酔医がしますので歯科恐怖症、高血圧症、糖尿病、心臓疾患などの基礎疾患をお持ちの方にお勧めです。 |
| 移植歯の感染根管治療 (根の治療)1根管 | ¥11,000 | 通常親知らずの根の数は1〜3本ですが、稀に4本や難治(治療に向かない形状)のものもあります。CTによって殆どは事前にお知らせできます。 |
| その後の詰め物被せ物:噛み合わせの状態により異なります。 | ||
| オールセラミッククラウン | ¥130,000 | 補償期間5年 |
| オールセラミックインレー | ¥66,000 | 補償期間3年 |
この記事が気に入ったら
いいね!しよう
最新情報をお届けします

