45歳女性、歯の変色と全体的な噛み合わせの崩壊の治療を希望されて来院。
歯の変色の原因は様々、打撲や歯の神経が死んでしまってもなりますが、多数歯にわたり散見される一番の原因としては胎児期に母体である母親のテトラサイクリン系抗生物質等の服用が挙げられるでしょう。
軽度の変色の方もいれば以下に示す患者のように深刻な状態を呈する方もいます。
紫色に変色した前歯のせいで人前で歯を見せて笑ったことなどしたことがないとおっしゃってます。。。

上の歯です。治療痕も多いですが、何本か歯が抜けてしまっています。。。複雑な形状をしている銀歯は高確率で変形し、少なからず虫歯になっているでしょう。。。

下の歯もすり減りや歪みが目立ち、小臼歯も1本欠損しています。。。

このままではホワイトニングをしてもムラのない白い歯は手に入りませんし、毎回申し上げていますが正常な歯並びがない状態では審美も機能も得られません。。。

類に漏れず矯正治療によってインプラント本数の削減のみならず、ご自身の歯で欠損部のスペースクローズを行い、最も重要な前歯の正常な噛み合わせとすり減り変色歯の改善をセラミックを接着着せ替えすることで達成する計画を立案しました。

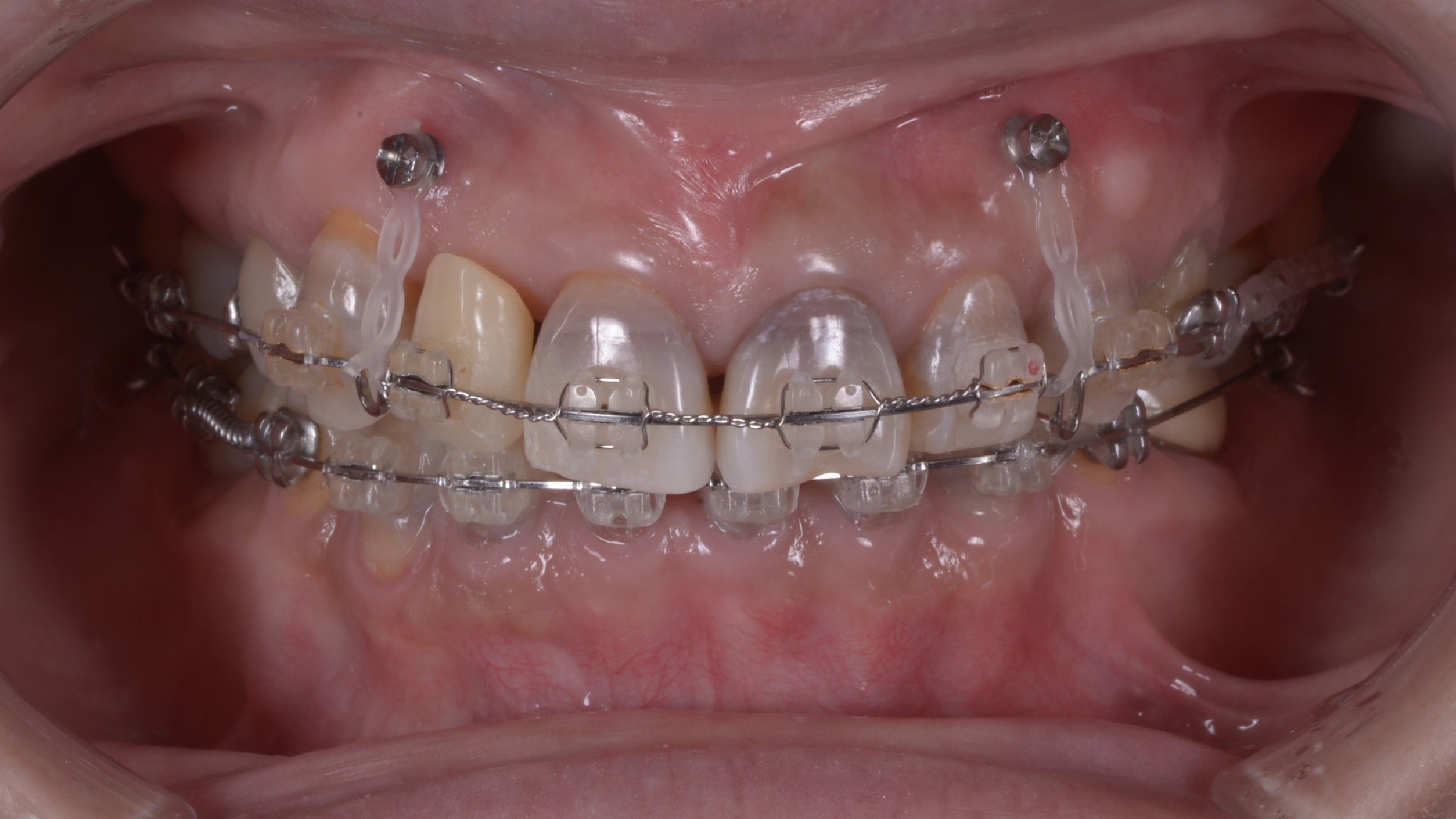
すり減った分は歯は生えてきます。矯正治療で元の位置まで引き戻します。その結果セラミッククラウンを入れる前では前歯同士が噛み合いません、でもそれで良いのです。

矯正治療終了時に歯の長さを先ずはプラスティックをすり減った先端部分に盛り足して、本来の歯冠形態を回復し、お顔や下唇と調和しているか確認を患者と共に行います!
この後前歯にセラミックを被せる予定だったのですが。。。

不幸にも転倒し、左前歯を折ってしまいました泣、、、残念ながら割れ方がひどく抜歯になってしまいました。。。
代替案はブリッジかインプラントですが、長いブリッジは避けたいとのことでインプラントをご選択、やむを得ません。。。

前歯ですから治療するからにはどこにインプラントが入れられているか歯科医師が見てもわからない状態に仕上げなければなりません。

この不定期ブログでも再三申し上げていますが、最も重要な治療ゴールは👆。
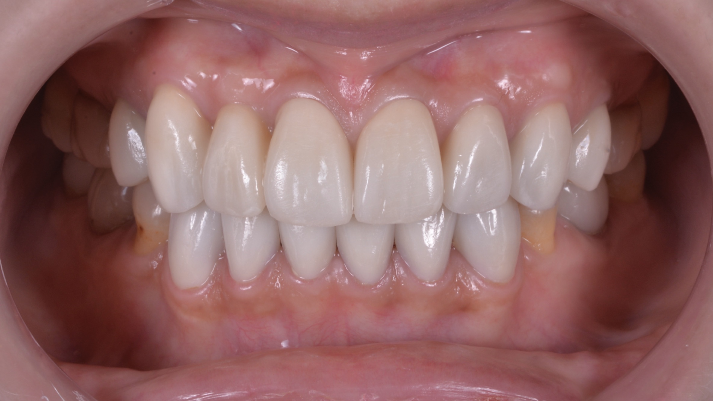
患者自身でもいくどとなく再現ができる適切な噛み合わせのポジションで前歯しっかり噛ませることができました!

変色した歯もセラミックで改善!
前歯のインプラントもどこに入っているかわかりません。
最新情報をお届けします