インプラントとは?
インプラント治療とは、歯を失ってしまった部分の骨にチタン製の人工歯根を埋め込み欠損部を修復する方法をいいます。
欠損部の治療方法には従来、取り外し式の入れ歯や、両隣の歯を支柱とするブリッジなどがありますが、これらは他の歯へ負担をかけざるを得ない治療方法です。
一方、チタン製のインプラントは顎の骨に埋め込むことによって骨とチタンがしっかりと結合し、そのものが単独で噛む力を受け止めてくれます。
言い換えればインプラントを埋め込む事で他の歯の負担を軽減できるのです。
チタンは人体との親和性が高くアレルギーなどほとんど生態への影響もありません。
また、チタン製インプラントは歯のみならず、人工股関節や膝関節など整形外科領域でも応用されています。
当院では、インプラントをお入れするだけでなく、場合によっては再生治療を併用し失った骨を再生させ、歯肉を移植し、ただ噛めるだけでなく、食物の流れ、あるいは歯磨きしやすさをも追求し、再建しております。
目標は、健康は歯がお有りになった状態を取り戻すことです。
しかし、この治療法は高度な技術と術前術後管理が重要なため、患者さんの御協力なくして成功に導きだすのは困難を極めます。
トップに戻る
インプラント治療の流れ
-
1
診査・診断・治療計画
インプラント治療に必要な診査(噛み合わせチェック、CT他レントゲン撮影等)を行い、治療が可能かどうかの診断を行います。
治療可能な場合は、患者さんとの相談しながら治療計画を立てます。
- 2
- 3
-
4
人工歯の装着
最終的な歯を製作するために型を取ります。
作成した人工歯をアバットメント(支台部)に装着して完成です。
-
5
メンテナンス
インプラントの形や特徴をよく理解した上で歯磨きを行い、歯垢や歯石の沈着を防ぎます。
歯を長持ちさせるために、定期的に検診を受けることをお勧めします。
トップに戻る
インプラント治療の症例
CASE
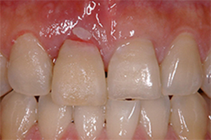
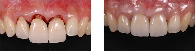
前歯1本を失われた33歳男性の患者さん
転倒により左上前歯を折られ、早期に来院されました。
幸い骨へのダメージはありませんでしたので、2つに折れた歯根を抜歯後、即時にインプラントをお入れし、仮歯を装着しました。
歯肉の切開は行わずに済んだケースです。
5年が経過しましたが審美的、機能的にも安定しています。
BEFORE
AFTER(術中・術後)
| 上記の症例で実際にかかった治療費(治療期間7ヵ月) | |
| インプラント埋入手術 | ¥275,000(税込) |
| セラミック土台とセラミッククラウン | ¥275,000(税込) |
| 合計 | ¥550,000(税込) |
CASE
前歯1本を失われた29歳男性の患者さん
数年前スポーツをしている際右上前歯を破折、応急処置を施され、折れた歯冠部を接着剤にて固定、歯科恐怖症でありましたがうずき始めたので治療してほしいと来院されました。
歯肉の中の歯根と骨はひどく感染しており、結果的にその歯の周囲の大部分の組織を失われました。
両隣の歯と骨は健全であったことから骨の再生とインプラント1本をお入れし治療を終了しました。
BEFORE
AFTER(術中・術後)
| 上記の症例で実際にかかった治療費(治療期間8ヵ月) | |
| 静脈内鎮静麻酔 | ¥66,000(税込) |
| インプラント埋入手術 | ¥275,000(税込) |
| セラミック土台とセラミッククラウン | ¥275,000(税込) |
| GBR(歯槽骨増生術) | ¥110,000(税込) |
| 合計 | ¥726,000(税込) |
痛みの少ない辛くないインプラント治療 ~静脈内鎮静法
痛みの少ないように、つらくないように、治療には常に気を配っておりますが、治療が大掛かりになればなるほど、1回の治療時間を長く掛けなければならないときがあります。
また、患者さんのなかには、これまでの治療にいい思い出をお持ちでないために治療が怖くなってしまった方、お口の中を触られるとえずいてしまう方もいらっしゃいます。
私たち治療する側の事情、患者さん側の事情で、本当に「痛みの少ない辛くない」治療への道はなかなか険しいのが現実です。
そういった問題の解決策として、当院では歯科麻酔科医の協力のもと、静脈内鎮静法を併用した治療にも対応しております。
静脈内鎮静法とは、少し眠いような、楽なお気持ちになっていただく方法です。
胃カメラを用いる検査などで広く採用されている方法で、治療中の患者さんのストレスを軽減を目的とするものです。
静脈内鎮静法がお勧めな方
- 時間の長い治療や、治療そのものに恐怖心をお持ちの方
- お口の中に治療の道具が入るとえずいてしまう方
- 歯科クリニックさんに行くと、緊張で血圧が上がってしまう方
リラックスした状態で治療をお受けになることができ治療時間が半分くらいに感じられ、痛みや不快な記憶も残りにくくなります。
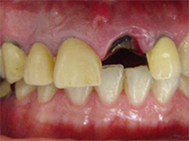
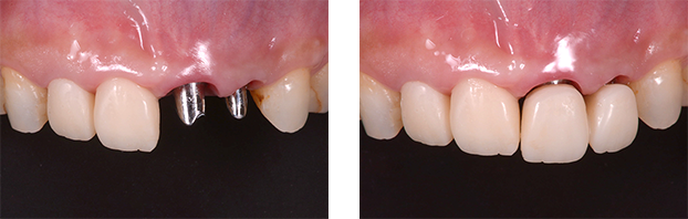
CASE
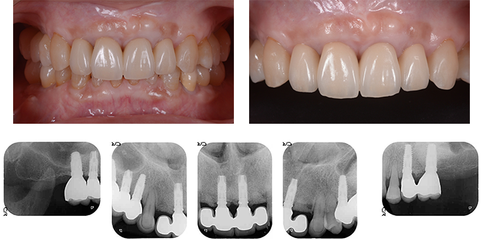
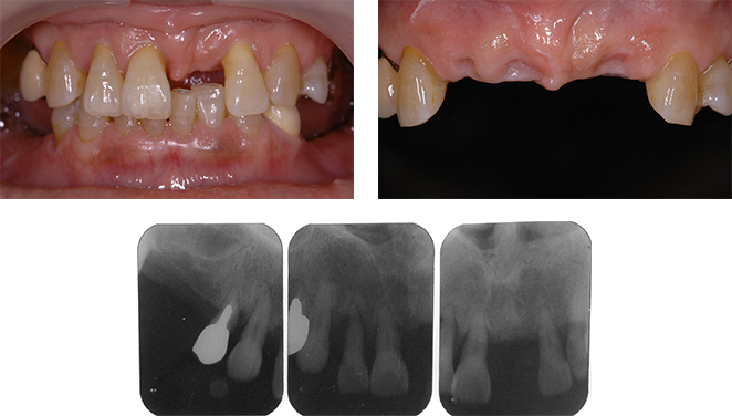
前歯3本を失われた43歳男性の患者さん
43歳男性、過去に治療した前歯のブリッジが動いて、うずくと来院されました。
右上の写真をご覧ください。元々右上2本の前歯を失われており、その両隣のはを削ったブリッジが入っていましたが、この方の噛み合わせの問題もあり、負担がかかりすぎたために左上前歯の歯根(黒く見えるところ)が割れていらっしゃいました。
ご相談の結果「もう歯を失いたくない!」と強く希望され、他の歯への負担軽減のためにインプラントを2本お入れし、その上にブリッジを装着する事をご承諾いただきました。
歯肉や、骨は圧倒的に失われており、それらも同時に回復し、審美的結果を導きださなければならない極めて難しいケースでした。
BEFORE
AFTER(術中・術後)
| 上記の症例で実際にかかった治療費(治療期間24ヵ月)(ほかの治療も含む) | |
| 静脈内鎮静麻酔 | ¥66,000(税込) |
| インプラント埋入手術 | ¥275,000(税込)×2 |
| セラミック土台とセラミッククラウン | ¥275,000(税込)×2 |
| インプラントとインプラントの間に位置するダミーの歯 | ¥143,000(税込) |
| GBR(歯槽骨増生術) | ¥110,000(税込) |
| 合計 | ¥1,419,000(税込) |
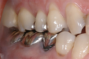
CASE
小臼歯1本を失われた35歳男性の患者さん
35歳男性、奥から3番目の銀歯がうずかれ来院されました。
レントゲンから根の先端に膿みが溜まっている様な、また根が割れている像も確認でき、この歯の保存を試みましたが結果として抜歯に至り、歯槽骨増生再生治療を併用したインプラントをさせていただきました。
BEFORE
AFTER(術中・術後)
| 上記の症例で実際にかかった治療費(治療期間4ヵ月) | |
| インプラント埋入手術 | ¥275,000(税込) |
| チタン土台とセラミッククラウン | ¥275,000(税込) |
| GBR(歯槽骨増生術) | ¥110,000(税込) |
| 合計 | ¥660,000(税込) |
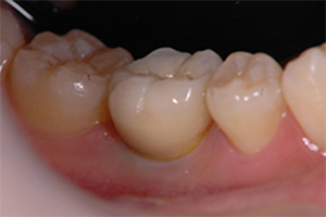
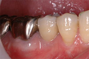
CASE
大臼歯1本を失われた35歳男性の患者さん
35歳男性、右下奥歯の被せ物が取れたがそのまま2年放置、噛める状態にして欲しいと来院、神経を抜かれていた歯は放置により虫歯が進行し、抜歯をせざるを得ない状態でした。
両隣はほぼ健全な状態であったため、削ってブリッジにするより、インプラントでと治療を決断されました。
BEFORE
AFTER(術中・術後)
| 上記の症例で実際にかかった治療費(治療期間6ヵ月) | |
| インプラント埋入手術 | ¥275,000(税込) |
| チタン土台とセラミッククラウン | ¥275,000(税込) |
| GBR(歯槽骨増生術) | ¥110,000(税込) |
| 合計 | ¥660,000(税込) |
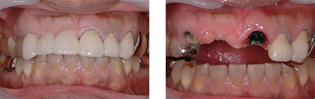
CASE
前歯2本を失われた20代男性の患者さん
20代男性、事故で前歯を2本折られ、過去に仮歯をいれた状態で来院されました。
骨吸収がみられ、歯肉の損傷もあったため歯肉の移植も行いました。
BEFORE
AFTER(術中・術後)
CASE
前歯4本を失われた65歳女性の患者さん
65歳女性、奥歯が無く噛めない。入れ歯でながいこと噛んでいたら前歯がグラグラする、もう一度若い頃の様にきれいになりたいとご来院。
奥歯にインプラントを入れ、歯周病治療をした後に前歯にインプラントを入れ、骨と歯茎を再生療法によって改善した。
BEFORE
AFTER(術中・術後)
トップに戻る
よくある質問
Qインプラント治療に年齢制限はありますか?
A. 個人差はありますが、骨の成長がほぼ終了する最低16歳以上で、医学的・解剖学的に条件が満たされている限り、どなたでもインプラント治療を受けることができます。
Qインプラントの手術は痛いですか?腫れますか?
A. 口の中だけの局所麻酔をするので、手術中の痛みはありません。 ただし、麻酔が切れてからは傷口の痛みが全くない訳ではありません。
Q手術後のお口の手入れはしなくて良いのですか?
A. インプラントの寿命はお口のお手入れの状態で決まります。 歯ブラシだけでなく、補助的な清掃用具(歯間ブラシなど)必要とすることもあります。
担当医や衛生士からお口のお手入れ方法の指導を受け、日頃の清掃に心がけてください。
定期検診を受け、担当医からチェックと指導をしてもらうことが大切です。
Q治療期間はどのくらいかかりますか?
A. 2回法の場合、顎の骨に埋め込んだインプラントが骨と結合するのに、個人差はありますが上顎で約6ヵ月、約4ヵ月程かかります。
骨とインプラントが結合した後、頭出しの手術を行ない治癒を待つのに約4週間。
その後、上に歯を入れるための期間が約2週間かかります。
Qインプラント手術のために入院する必要がありますか?
A. インプラントを埋め込む手術は、麻酔を使いますが、通常は入院の必要はありません。
手術当日に帰宅できます。
Q以前の歯と同じように噛めますか?
A. インプラントは顎の骨に埋め込み、骨と結合するため、自分の歯と同じように噛むことができます。
Qインプラントはどのくらいもちますか?
A. インプラントはチタン製で丈夫にできています。 定期検診と毎日のお手入れ次第で長期間ご使用いただけます。
Q歯周病が全体的にひどいのですが、インプラントでキレイになりますか?
A. まずは初期治療として、徹底したクリーニングを行い改善をはかり、必要であれば確定的な処置(外科的アプローチ)をし、管理できる状態まで改善することが重要です。
その上で、保存管理が難しい状況であれば、抜歯を勧めさせていただく可能性はあります。
歯周病の進行具合にもよりますが、まず、ご自身の歯を本当に抜くかどうか、診査、診断、処置をしてみます。
もちろん、インプラントを用いて、一定基準に美しく仕上げることは可能ですが、天然の歯に勝るものではないことを申し上げておきます。
Q前歯の1本がグラグラです。その歯を抜いて、インプラントをしたいと思いますがキレイになりますか?他は治療したくありません。
A. もちろん、他の歯が健全であれば、治療をお勧めすることはありません。
1本のみの処置でキレイに回復することが可能と思われますが、他の歯の状況が悪ければ処置をお勧めすることもあります。
それは、その1本のインプラントを長く機能させることにも繋がります。
Q全体的に歯がグラグラしています。治療期間と費用を教えてください。
住まいは遠方です。
A. 最初に全ての歯を抜かなければならないのか精査をし、残せる歯への対応を説明させていただきます。
仮に、少数本の歯があまり将来性の高くない状況でも保存できるなら、ご自身のご要望をお聞きし、その歯を抜歯してインプラントにより強固な状態にするか、その歯を保存するか説明させていただき、ご選択していただきます。
遠方からご来院とのことですが、回数を最小限におさえ、1回あたりのお時間を長く頂戴し対応することは可能です。
回数に関しては、治療の内容により多少差があり、費用に関しても同様なので、お問い合わせください。
Q1回のみの通院でインプラントと歯が入り、終了できると聞いていますが、可能ですか?
A. 1度の処置でインプラントをお入れして、仮歯にし手術後、噛めるような状態まで持っていける治療法はあります。
ただし、綿密に診査、診断をした上で、即日仮歯を入れることが可能になるくらい、インプラントを強固に固定するなどの制約はあります。
Q保障については、どうなっていますか?
A. メンテナンス(1、3、6ヵ月)に継続してご来院いただければ、インプラント体は10年、土台、冠は5年の保障をつけさせて頂いております。詳細はお問い合わせください。
Q過去に入れた前歯のインプラントの歯肉が下がってしまい、気になります。
どのように改善してもらえますか?
A. おそらく、インプラントを支えている骨が少ない、歯肉が少ない、インプラントが傾いて入れられている、などの問題が考えられます。
軽度であれば、歯肉移植などにより改善できますが、場合によっては、インプラントを撤去し、再度入れなおすか、そのインプラントは機能させずに眠らせるなどの方法でリカバリーができると考えられます。
Q10年来、総入れ歯を入れていますが、最近合わず食事が思うようにできません。 インプラントで処置をする場合、何本のインプラントを入れると噛めるようになりますか?
A. 現在総入れ歯をご使用されているとのことですが、それ自体を今より安定させるには一本のインプラントをお入れすることで、お悩みを解決することが可能と思われます。 総入れ歯と同様に取り外していただくタイプのものでしたら、左右に一本ずつのインプラントをお入れになれば、今より噛みやすくなると考えられます。
取り外ししないタイプのものであれば本数は4本以上、理想的には7本以上をお入れして、3つまたは4つのブリッジに分け、歯列を構築することが望ましいと考えられます。
その根拠は、インプラントは骨と結合しているため動きませんが骨自体は噛む力によりたわむのです。
もしセラミックにより歯列全体を作り上げそれらがすべて連結されていたならば、壊れてしまう可能性があります。
ですから左右奥歯、前歯とグループ分けをしてあげると、被せ物や、インプラントの寿命を延ばすことが可能になるわけです。
Q上前歯が4本なく2本の犬歯を土台にしたブリッジにするか悩んでいます。
時間と費用、それと治療への恐怖心があるので、それを回避するすべを教えてください。
A. 左右一本ずつの犬歯を利用したブリッジはお勧めできかねます。
その後ろの歯(第1小臼歯)も利用できるならばよいのですが、もし無傷の歯であるならばなおさらです。
前歯4本の欠損には2本または3本のインプラントによるブリッジで回復は可能ですが、安定した組織(歯肉、骨)回復のためにGBR(歯槽骨増大治療)あるいは骨移植と歯肉移植が必要になる可能性が高いと考えます。
治療期間は半年以上, 治療費はインプラント2本とダミーの歯2本の計4本ブリッジの場合、約120万円ほどかかります。
また、歯科治療恐怖心が強い方へ麻酔専門医との連携による静脈内鎮静麻酔がご自身へのストレスをなくし、お勧めできます。
Q左下4本が部分入れ歯でついつい右側で噛んでしまうクセが抜けません。
左側も噛めるようになりたいのですが、費用はどれくらいかかりますか?
A. 4本の奥歯を失われているとの事ですが、最低2本のインプラントにより4本のブリッジをお入れすることが可能です。
十分な骨があればインプラントと同時に仮歯をお入れできますので、その日から柔らかいものならば召し上がることが可能です(ただしこの処置にはいくつかの条件があります)。
治療費は約90万円ほどかかります。
トップに戻る
この記事が気に入ったら
いいね!しよう
最新情報をお届けします
