新着ブログ
-
予防
test
-
歯周病
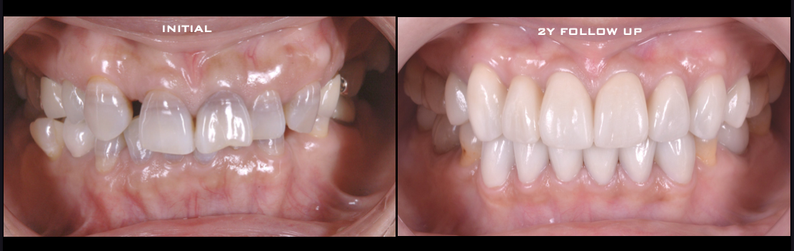
歯並びも変色した歯も気になる、どうしたら治りますか?
-
歯周病
グラグラな歯、進行した歯周病、抜かずに治せる?最終章
-
歯周病
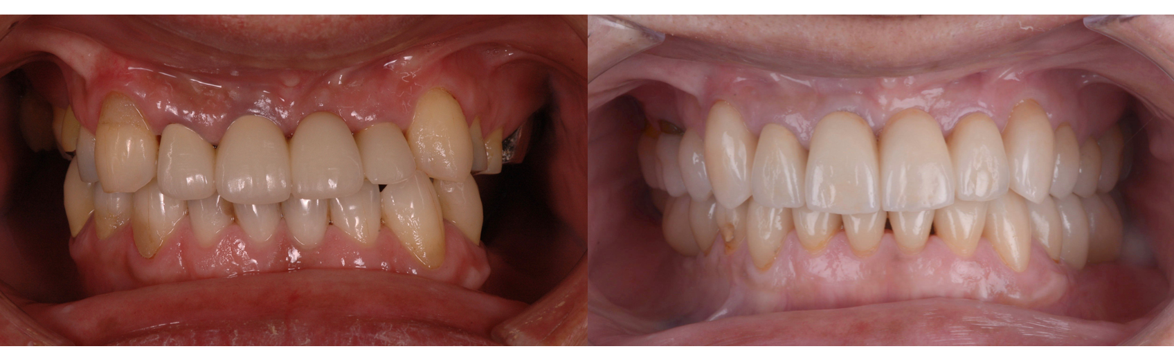
治療期間5年半、当院チーム治療によってまたお一人安定した噛み合わせを回復されました!!


