歯周病とは
「最後に検診やクリーニングを受けられたのはいつですか?」
痛みが無いと言う事で、数年間歯科にかからない方は大変多くいらっしゃいます。
普通は痛みや違和感を覚えてから 一大決心をされて来院されると思います。
もしあなたの歯磨きの仕方に大きな問題があるなら、その数年間にどのような変化が口腔内に生じるか、想像できますか?
ほとんどの方が大切な歯を失う要因として虫歯を連想されると思いますが、虫歯は宿主、細菌、時間、糖質摂取等の因子が全て揃うと発症し、"歯そのもの"が破壊される病気(写真下)です。
歯周病は細菌性バイオフィルム、宿主生体防御機構の低下、生活習慣、時間などこれら1、2つの因子が揃うだけで発症する"歯を支えている周りの組織(歯周組織)"に起こる病気で、虫歯と同等以上に歯周病(歯槽膿漏)で歯を失ってしまう方が多いのです。

とくに30歳代後半から歯周病によって歯を失うリスクが高まり、ご自分では気づかない軽い症状を含めると、40歳以上の成人のうち、5人に4人が歯周病にかかっているといわれ、歯周病は歯を失う最大原因となっています。
歯周病には歯肉に限局した炎症の歯肉炎、歯肉を超えて骨や他の組織にダメージが加わりだした状態の歯周炎があり、歯肉炎と歯周炎を総称し歯周病といいます。少し解りやすく以下に説明します。

どうして起こるの?
歯周組織は歯肉(歯茎)と歯槽骨(歯を支える骨組織)、歯根を覆うセメント質、セメント質に覆われた歯根と歯槽骨をつなぐ歯根膜(歯と歯槽骨の間にあるサスペンション的役割をもつ)からなり、歯を正しい位置にしっかり付着固定するための強固な構造を備えています。
歯磨きが不十分で、歯と歯肉の境目に細菌が住み着いて歯垢(プラーク)が溜まると、そこに炎症が引き起こされてしまいます。
これが歯周病の始まりです。
トップに戻る
歯周病が進行すると?
はじめは自覚症状がなく、鏡で見ても気づきませんが、そのうちは肉が赤くなり出血したり、腫れたりします。
この状態を歯肉炎といいます。
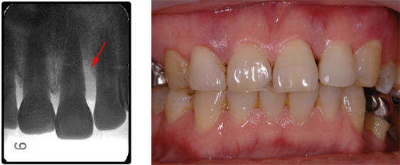
歯を失うという事は、歯の周りの骨が大きく喪失し、顔の表情にも大きな変化をもたらします。更に、最近ではその病原菌が脳梗塞、心内膜炎、糖尿病、などの原因の1つであるという研究結果がだされ、口の中だけでなく全身的な問題としても懸念されています。

更に炎症が歯肉の内部に進行すると、歯根膜や歯槽骨が破壊され、歯を固定する力がだんだん弱くなります。

上の写真のように歯と歯の隙間が広くなったり、歯があらぬ方向に動き出し、出っ歯になったりもします。
この状態のまま放置してしまうと、ついには歯を失うことになってしまうのです。
歯を失うという事は、歯の周りの骨が大きく喪失し、顔の表情にも大きな変化をもたらします(写真下)。
更に、最近ではその病原菌が脳梗塞、心内膜炎、糖尿病、などの原因の1つであるという研究結果がだされ、口の中だけでなく全身的な問題としても懸念されています。
歯周病を治療するということは体全体の健康維持にとても重要であることが理解できます。
歯周病と全身疾患
歯周病は細菌による感染症ですが、生活習慣病でもあります。

歯周病は細菌による感染症ですが、生活習慣病でもあります。
タバコやストレスなど歯周病を悪化させる因子は様々ですが直接の原因となるのは細菌です。
義歯に付着する汚れや臭いの正体も、歯周病の細菌とほぼ同じです。
義歯をきれいに保つことも全身の健康のためには大切なのです。これまで歯周病は、口の中だけの病気と考えられてきました。
しかしながら近年、歯周病が全身にもたらす影響、また全身が歯周病に与える影響についての研究が進められています。
歯周病の原因菌は、口から体内に侵入することで様々な疾患を引き起こします。例えば、糖尿病、心疾患、肺炎、低体重児出産、脳梗塞、アルツハイマー症などが示されています。
心疾患
食生活や運動、ストレスなどの積み重ねが引き起こす生活習慣病の一つです。
歯周病のある人は、無い人と比べて心疾患を発症するリスクが高いことが報告されています。
ただ歯周病が重篤であればあるほど、その発症リスクは高くなるとも言われています。歯周病によって歯肉で産生された炎症物質が血流を介して心臓血管にも影響を 及ぼすためと考えられているためです。
糖尿病
歯周病は以前から糖尿病の合併症の一つと言われてきました。実際、糖尿病の人はそうでない人に比べて歯肉炎や歯周炎にかかっている人が多いという疫学調査が複数報告されています。さらに最近、歯周病になると糖尿病の症状も悪化するという逆の関係も明らかになってきました。
つまり、歯周病と糖尿病は、相互に悪影響を及ぼしあっていると考えられるようになってきたのです。歯周病治療で糖尿病も改善することも分かってきています。
誤嚥性
肺炎
誤嚥性肺炎とは、食べ物や異物を誤って気管や肺に飲み込んでしまうことで発症する肺炎です。
肺や気管は、咳をすることで異物が入らないように守ることができます。しかし高齢になるとこれらの機能が衰えるため、食べ物などと一緒にお口の中の細菌を飲み込んだ際、むせたりすると細菌が気管から肺の中へ入ることがあるのです。
その結果、免疫力の衰えた高齢者では誤嚥性肺炎を発症してしまいます。
特に、脳血管障害の見られる高齢者に多くみられます。誤嚥性肺炎の原因となる細菌の多くは、歯周病菌であると言われており、誤嚥性肺炎の予防には歯周病のコントロールが重要になります。
喫煙がダメなのはなぜ?
一般にタバコを吸う人は、吸わない人に比べ3倍も歯周病にかかりやすく、また2倍も多く歯を失っているという報告があります。
また喫煙本数と比例して歯周病が重症化することも分かっています。ではどうしてタバコが歯周病を悪化させてしまうのでしょうか?
①歯周病菌と戦う白血球の機能が低下してしまう。
②歯肉に酸素や栄養を供給するのに大切な血管が、タバコのニコチンにより収縮してしまう。
③歯肉を修復するために必要な線維芽細胞の働きが抑制される。
④歯と歯肉の境目にある溝の中の酸素が不足し、酸素が大嫌いな歯周病菌にとって繁殖しやすい環境を作ってしまう。
さらに、歯周病以外にも喫煙は口内にとってよくないことがたくさんあります。
喫煙は歯周病を悪化させるだけでなく、口の中にいろいろな悪影響を与えます。
ヤニで歯が汚れるだけでなく、メラニンが沈着して歯肉が黒くなり、線維性のゴツゴツした歯肉になります。
また舌の表面の細かい突起部分に舌苔(歯垢と同じ細菌のかたまり)にまみれてヤニが沈着し、ひどい口臭を発します。
さらに味覚を感じる器官をヤニまみれの舌苔が覆い、味覚を鈍麻させてしまいます。
タバコをやめると食べ物がおいしく感じるのはこのせいです。また味が感じにくくなると、自然と味つけの濃いものに食事が偏り、これが高血圧等の生活習慣病の原因にもなりえます。
口の中にできるガンのリスクを多いに高めるのも喫煙です。
トップに戻る
歯周病の治療法は?
歯周病は軽度の段階であれば歯や歯の周囲のクリーニングなどで清潔を保つ処置で改善できます。
歯周組織の破壊が進んでしまうと手術(歯周外科手術)や、1本1本では噛む力に耐えられない歯と歯同士を固定するなどの処置が必要になってきます。
更に症状が進行した場合は、外科処置により歯を保存できる適応症から外れ、抜歯を考えなければならない状態になります。
歯周病が進行する要因
- 不適切な歯ブラシの仕方
- 噛み合わせの問題
- 虫歯の放置
- 不適合・不適切なかぶせモノや詰め物
など様々な要因によって歯周病は進行しますが、一番の理由は日常的に歯ブラシにより汚れをとれるかどうか(プラークコントロール)になってきます。
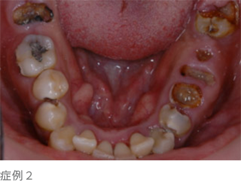
日本人の場合は特に噛み合せの問題や不適切な歯科治療、あるいはそれらの複合的要因の結果によって歯を失われる方がとても多く見られます。
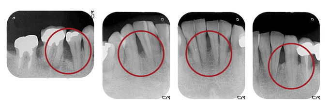
向かって右奥歯の根が露出してしまっています。
噛み合わせや不適切な治療や歯ブラシの仕方によって、歯周病が進行しきった状態です。
こうなってしまうと残念ながら救う手だてはありません。
前方の歯の詰め物、被せ物も決して精度高い治療とは言えません。歯周病は早期発見・早期治療が大切なのです。
また、体の一部分を治療するわけですので、体全体の健康状態を少しでも良くするという意識を強く持っていただきたいのです。
過度なストレス、口呼吸、多くの薬を服用されている方は唾液の分泌量が低下しがちで病原菌の繁殖が顕著な傾向を示します。
正しい歯磨き方法をし、口の中を良好な健康状態で維持、習慣づけていくことで、先例にあげたような全身の病気や生活習慣の改善とコントロールが期待できるのです。
すなわち、口腔環境の改善は体全体の健康に直結してる、とも言えます。
治療には、患者さん自身の協力がとても大切です。
トップに戻る
歯周病治療の流れ
歯周病治療には、レントゲンが必要です。
歯周病には軽度・中度・重度と進行度合いの違いはありますが、まずは歯科医院で行う歯周病の基本治療と患者さんがご自宅で行う歯垢(プラーク)の除去(毎日のブラッッシング)、歯周病への知識が必要になります。
私達医療従事者がどんなに頑張っても患者さんのご協力が得られない場合、歯周病は再発し、予防することはできません。
繰り返しの治療に時間と治療費がかかりそのうち歯科医院へ通う事も苦になってしまいます。
1 歯周基本治療とは
細かなレントゲンを元に歯周ポケットの深さを測り歯肉に埋まっている歯石を探査し、歯肉を傷つけないように歯石を取っていきます。
歯周病は軽度の段階であれば歯の周囲や歯肉の中のクリーニングなど歯周初期治療(スケーリング・ルート プレーニング)により改善できます。
左下:全ての歯に多くの茶色い歯石が付着している、歯石で歯と歯の間が埋まっていることから歯槽骨の喪失も疑われます。
右下:歯石除去をし、歯肉の炎症がとれ引き締まった状態、結果的に治癒とともに歯と歯の間の歯茎の隙間が生じています。
BEFORE(歯周基本治療前)
AFTER(歯周基本治療後)
写真では見えている歯石しか確認できませんが、レントゲンを取ってみると歯肉で見えない部分まで歯石が付いているのがわかります。
BEFORE(歯周基本治療前 レントゲン)
AFTER(歯周基本治療後 レントゲン)
歯周病をステージごとに治療の流れをご説明します。
-
1
歯周炎
「歯周炎」の場合は、歯周ポケットが2〜4㎜のため歯を支えている骨には殆ど影響がありません。
歯肉の上についている歯石(白い石のようなもの)を取り、歯磨きを頑張っていただければ改善します。
歯科医院での流れ
① レントゲンで歯を支えている骨の位置と歯石を確認
② ポケットの測定
③ 歯肉の上に付いてしまった歯石と歯周ポケットの中のプラークを除去
④ 約1ヵ月後に歯磨き状態をチェック
⓹ 定期的メンテナンスへ患者さんにお願いしたいこと
ご自宅での歯磨き(歯ブラシ、フロス、歯間ブラシ等)
-
2
軽度な歯周炎
「軽度な歯周炎」の場合は、歯石がポケット内に入り込み、歯肉に炎症がおこり骨に少々影響がでてきます。歯周ポケットは3〜5㎜。
歯科医院での流れ
① レントゲンで歯を支えている骨の位置と歯石を確認
② ポケットの測定
③ 歯肉の上に付いてしまった歯石と歯周ポケットの中のプラークを除去
④ 約1ヵ月後に歯磨き状態と取り残しをチェック
⓹ 定期的メンテナンスへ患者さんにお願いしたいこと
ご自宅での歯磨き(歯ブラシ、フロス、歯間ブラシ等)
-
3
中等度歯周炎
「中等度歯周炎」の場合は、歯周ポケットは4〜7㎜となり、歯が少しぐらついたり何もしなくても歯肉から出血する等の症状がでてきます。
歯磨きだけではコントロールできなくなり、歯石を取っても歯を支えている骨に大きなダメージがでてくるため、場合によっては外科的処置を行う場合もあります。歯科医院での流れ
① レントゲンで歯を支えている骨の位置と歯石を確認
② ポケットの測定
③ 歯肉の上に付いてしまった歯石と歯周ポケットの中のプラークを除去
④ 約1ヵ月後に歯磨き状態と取り残しをチェック
取り残しの歯石を除去
⓹ 3ヵ月後、歯周ポケット測定
⓺ 必要な場所に歯周外科処置
⑦ 定期メンテナンスへ患者さんにお願いしたいこと
① ご自宅での歯磨き(歯ブラシ、フロス、歯間ブラシ等)
② 生活習慣の改善(食生活、喫煙、睡眠等)
③ 全身疾患の改善(糖尿病、高血圧等) -
4
重度歯周病
「重度歯周病」の場合は、歯周ポケットは6㎜以上となり、歯を支えている骨は大きくダメージを受けます。
そのため、歯がグラグラする、食事中噛むと痛みがあり噛めない、冷たいものや温かいものがしみる、口臭がひどい、歯を磨くと出血するなどの症状がでてきます。歯科医院での流れ
① レントゲンで歯を支えている骨の位置と歯石を確認
② ポケットの測定
③ 歯肉の上に付いてしまった歯石と歯周ポケットの中のプラークを除去
④ 歯肉に隠れて見えない歯石を数回にわけて除去
⓹ 2週間に一度歯周ポケットの消毒
⓺ 3ヵ月後に歯周ポケット測定
⑦ 必要な箇所に歯周外科処置患者さんにお願いしたいこと
① ご自宅での歯磨き(歯ブラシ、フロス、歯間ブラシ等)
② 生活習慣の改善(食生活、喫煙、睡眠等)
③ 全身疾患の改善(糖尿病、高血圧等)
2 再評価
口の中全体の歯石が取り終わり、約1ヵ月〜2ヵ月後に再度歯周ポケットの検査と歯石の取り残しがないかチェックします。
歯周ポケット4mm以上ある部分については、更に歯周病を改善するために外科処置を検討する必要性があります。
更に症状が進行した場合は外科処置により歯を保存できる適応症から外れ、抜歯を考えなければならない状態になります。
4mm以下の場合は、メンテナンスへと移行します。
3 外科的処置(歯周外科)
4 外科処置後の再評価
約6ヵ月以上治癒を待ち、歯周ポケットを再度計測します。
5 メンテナンス
歯周病とは完治する病気ではありません。
そのため、予防をしていくことが(経過観察)非常に重要です。
定期的に歯科検診をご受診いただき、レントゲン、噛み合わせ等のチェックが必要です。
トップに戻る
歯周外科とは?
歯周病を痛くないからとそのままにしておくと、歯磨きでの清掃が困難になり歯槽膿漏の進行を助長してしまいます。
そこから歯周病原菌の温床となってしまい、増殖した菌は血流に乗って体中に周り様々な悪影響を全身に及ぼすことになってしまうのです。
歯周外科とは、歯周基本治療では改善しなかった部位に対して、直接、歯根や骨に処置を行い、歯周病を改善する治療法です。
歯周外科の主な目的
- スケーリングを中心とする基本治療では取りきれない歯肉の中深く取りにくい場所の隠れた歯石や歯垢などの汚れを徹底的に除去する
- 深い歯周ポケットを浅くする
- 骨の形を整え(骨を再生する、骨を平らに修正する)汚れが貯まりにくく、歯ブラシしやすい環境に整える
- 凹んでいる歯茎や退縮した歯肉を回復する(生理的形態の回復)
- 審美性の獲得不揃いの歯茎のラインや、極端に短い歯を長く見せるように歯肉と骨を整える
歯周外科の種類
オープンフラップデブライドメント
一般的なクリーニングでは取りきれない歯肉の中の歯根深くにこびりつく歯石や汚れに対して、歯肉を切開し直接歯根表面を清掃します。
処置自体は全く痛みもありませんし、徹底したクリーニングにより歯周組織の改善を促します。
骨外科処置
骨の隆起や歯と歯の間の骨の欠損など非生理的な形態となってしまった骨の形を調整します。
歯の周囲の歯肉は骨の辺縁や欠損のような形態異常に沿った形がつくれず、常に一定の形態に自らを構築しようとする力があります。
したがって歯槽骨の形態を生理的なものへと人為的に整える必要があります。
歯周形成外科
主として審美性の改善を目的として骨や歯茎の調整を行います。
患者さんが目にできるのは前歯が中心となります。
これらの症状は奥歯にも現れますが、大抵は気づきません。
これらの症状は歯ぎしり、食いしばり、噛み合わせや歯列不整の問題、患者さん固有の歯茎や骨の厚さや形によっても生じます。
もし歯茎が弱く歯磨きがしにくいようであれば、単に審美的に問題があるだけではなく、知覚過敏や歯根面の虫歯、または歯周病などが進行することもあります。
歯周形成外科とは、このような問題を解決するために、主として審美性を目的として歯茎や骨の形態や量を調整する処置です。
被せ物の治療をする際にも、ただ、単に白い被せ物を入れるだけでは、自然な仕上がりは期待できません。
美しい形、色、歯茎が整ってはじめて、魅力的な笑顔が創られます。
歯周形成外科を行うことにより審美性を回復し、また歯磨きしやすい環境を整え、虫歯の危険性を低減させたり、歯周病の進行を抑制させたりします。
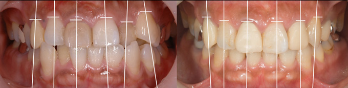
写真は、歯並びの不整とアンバランスな歯と歯茎のラインや歯の長さを改善するため、矯正治療の後に不揃いな歯茎を切除し形態を自然な歯の長さに回復した状態です。
トップに戻る
歯周組織再生療法とは?
歯周病が進行すると、歯を支えている歯槽骨が溶けてしまいます。
失われた歯槽骨の再生を促すのが再生療法です。
再生療法の種類
GTR:Guided Tissue Regeneration
( 骨欠損部にGTR膜を置くことで骨芽細胞の再生を補助してくれる。歯周組織再生誘導法 )
骨欠損の形態に影響されにくく、形態によって骨移植で結果が向上するのがメリットである療法です。
歯肉弁の取り扱いと縫合には精密さと熟練さが要求されます。
EMD:エムドゲイン
(エナメルマトリックスというブタ由来エナメル基質タンパクを欠損部歯根に塗布)
作用のメカニズムに不明な点もありますが、GTRに比べて術後の不快感が少なく、骨移植と併用することで結果が向上します。
骨欠損形態が大きく関係してくることに留意が必要です。
rh-PDGF +Bone graft
(ヒト由来多血小板成長因子をβ-TCP補填剤と混ぜ欠損部に填塞する方法)
骨移植との併用が原則で、症例報告において良好な報告が見られますが、歯科の世界ではまだまだ歴史も情報も浅い新しい技術です。
- EMD(エムドゲイン)
- EMD(エムドゲイン) + 骨移植
- EMD(エムドゲイン) + 骨移植 + GTR(吸収性膜)
- GTR(吸収性膜)+ 骨移植
トップに戻る
歯周組織再生療法の症例
どういう場合に歯周再生療法が効果的なの?
再生療法の適応症は、前述のように3mm以上の深い骨縁下欠損ですが、当院では3mm以下の浅い骨欠損に対してもしばしば適用しています。
前歯を中心とする審美領域の垂直性骨欠損が一例です。
前歯部領域では再生療法により失われた骨を再生させるか、矯正的挺出(歯と骨を矯正力を利用し引っ張りだす)以外は審美的な回復は困難な状況となります。
それ以外の方法、例えば骨外科処置(失われた骨の位置まで未だ存在する骨を削り平坦化させる)を適用した場合、歯の見た目が長くなるだけでなく、歯間乳頭(歯と歯の間の三角形の歯茎)の喪失などのリスクがあるため、再生療法を応用し歯周組織を温存することを目的にしています。
またこのとき歯槽骨唇側への骨移植や結合組織移植などを併用すれば薄いバイオタイプを厚いバイオタイプへと転換し、将来の歯肉退縮の予防等、歯周組織を長期安定させるのに役立たせることも可能となります。
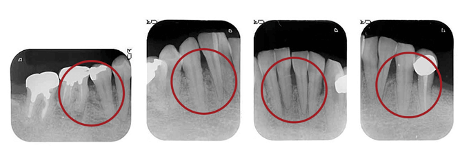
CASE
歯周骨が無くなってしまっていたため、
「骨移植•GTR•エムドゲイン」を使用した40代女性の例
BEFORE(初診時)
赤丸の黒く抜けている部分は歯周病により骨が失われています。
AFTER ( 術後:歯周組織再生療法 )
赤丸の部分に骨移植を行って術後10ヵ月程たった状態です。
黒い部分が白くなってきています。骨が少しずつできてきています。
最初は抜かなければならない可能性の歯もこのように再生療法によって、残す事が可能となります。
治療期間が長くなり、治療費もかかりますが、一生ご自分の歯で生活できるということを考えると、大きなメリットだと思います。
この手術は術者の十分な知識と経験がないと結果が伴ってきません。
そして、患者さんのご協力(生活習慣や毎日の歯磨き等)も必要となります。
「どこの歯医者さんでも行える処置」という訳ではありません。
歯周病でお悩みの方、ご相談、セカンドオピニオンも行っておりますので一度ご来院ください。
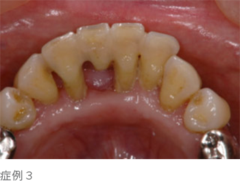
CASE
「前歯の歯茎から膿みが出る」を主訴にご来院された患者さん
BEFORE(初診時)
この症例では、歯間部の歯槽骨は骨吸収によって失われ、3mm程度の浅い骨縁下欠損を認めました(矢印)。
歯と歯の間の骨が無くなっているのが解りますか?
見た目には解りにくいですが歯茎から膿が出て腫れています。
AFTER ( 術中・術後 )
エムドゲインを使用し歯と歯の間の垂直的硬組織の再生に成功したケースです。
術中である左の写真で、無くなっていた歯と歯の間の骨が再生しかけているのがおわかりいただけるでしょうか?
向かって右の術後の写真では完全に再生されました。
術後6年経過した現在も、膿漏の再発も無く予後は安定しています。
このケースに切除する療法を適用すれば、歯根の唇側の骨を相当量削除しなければならなくなります。
その結果歯の長さは長くなり審美的に問題が生じることでしょう。
また歯根が露出すると知覚過敏を引き起こしたり、歯の根に新たに虫歯を発症させてしまうなどのリスクを高めることになるかも知れません。
CASE
大臼歯の分岐部病変2度を含む浅く広い骨欠損
BEFORE(初診時)
向かって一番右側の奥歯と2番目の歯と3番目の歯の間の骨(矢印)が溶けてなくなっているのがわかるでしょうか?
”噛むと痛んで腫れている、過去に抜歯を薦められ不安なので診てほしい”と来院された女性の患者さんです。
AFTER ( 術中・術後 )
GTR法とエムドゲインの併用による再生療法により骨を再生しました(矢印)。
違いが解りますか?骨が再生されています。
CASE
大臼歯に狭く深い骨欠損が見られる48歳女性
BEFORE(初診時)
右下奥歯が腫れると来院。最奥歯の周囲の骨が狭くやや深くなくなっています。
術前のレントゲンでも歯の周囲の骨が不整であることが理解できます。
カラー写真だと一見したところ異常が無い様に思えますが、、、
※血が苦手な方に配慮して画像の色味を修正しています。
歯肉を切開し骨をあらわにしたところ、最奥歯の骨の欠損が確認できます。
AFTER ( 術中・術後 )
※血が苦手な方に配慮して画像の色味を修正しています。
欠損部にエムドゲイン、周囲から採取した骨を填塞し、その上に膜(バリアメンブレン)を設置しています。
この方の場合は手前の歯のすり減り等を考慮すると歯ぎしりなどの噛む力のコントロールがなされていない、または噛み合わせが悪く現状に至ったと推察しました。
基本治療から3ヵ月しても改善が見られなかったため再生療法を施術し現在も加療中です。
トップに戻る
歯周組織再生治療の流れ(初診から術後管理まで)
-
来院
1回目問診とカウンセリング(目安: 90~120分 )
・ 問診とカウンセリング
・ 口腔内診査、歯周組織精密検査、歯科用デンタルまたはパノラマレントゲン撮影、歯科用CT撮影
・ 簡単な噛み合わせの診査
・ 顔貌および口腔内写真撮影
・ 歯磨き指導・歯石除去・歯面清掃以上を踏まえて診断します。
その日のうちに治療計画を説明することも可能です。
(ご家族の帯同があればより好ましいでしょう。) ご承諾がいただければ次回は手術になります。
術前投薬(抗生物質:感染予防のための事前服剤:腫れ止めとして用います。時限的な投薬なので副作用の心配はいりません。) -
来院
2回目再生治療手術(麻酔専門医による鎮静麻酔併用可能:歯科恐怖症、基礎疾患有病者、処置歯数が多い場合等こちらから要望させていただくこともあります。)
手術時間:
局所麻酔のみの場合:〜90分を限度としております。
鎮静麻酔併用:〜150分を限度としております。
※少しでも楽に安全に処置がしたい方には鎮静麻酔の併用をお勧め致します。
(麻酔専門医による鎮静麻酔併用可能:歯科恐怖症、基礎疾患有病者、処置歯数が多い場合等こちらから要望させていただくこともあります。) -
来院
3~8回目消毒
消毒が中心となります。(回数はあくまで目安です。)
-
術後
3~6ヵ月再評価
術部の治癒の状態を検査し、メンテナンスを含めた今後の対応を検討致します。
-
その後
メンテナンス
歯科治療は終わってからが本当のスタートです。
患者さんと歯科衛生士、歯科医師の協議のもと期間(1〜6ヵ月間隔)を決め継続的にご来院いただき術部を含めた口の健康管理をしていきます。
トップに戻る
この記事が気に入ったら
いいね!しよう
最新情報をお届けします