審美治療

Esthetic %20treatment

審美治療とは

審美治療とは、美容歯科と呼ばれる方も多いことからも想像がつくと思いますが一般的な歯科治療の概念に治療後の見た目の美しさを追及した治療です。

例えば、歯の詰め物をする場合でも金属を使用するのではなく、セラミック等の歯と同じ色の材料を使用して天然の歯との違和感をなくしたり、前歯の隙間や着色が気になる方に、薄いセラミックを貼り付けて審美的機能の修復を行う治療等を審美治療(美容歯科)と言います。

しかし、口の中を治療するわけですから、ただ美しくなれば良いと言う考え方には注意が必要です。
現在では、口腔内本来の機能を優先しながらより美しく、より自然にと言う治療方針がテーマになっています。

bub CASE

セラミックインレー

インレーとは、歯科治療で、よく奥歯の虫歯に使用される詰め物のことです。
奥歯の銀歯が気になる方は、健康的で自然な美しさを取り戻すことのできるセラミックインレーがお勧めです。

arrowBEFORE

BEFORE
arrow

arrowAFTER

AFTER
bub CASE

オールセラミック

金属を一切使用しない治療方法です。
もし神経がなければ、根に金属でなく、グラスファイバーのクイを差します。その上にセラミックのみを使用した冠をかぶせることにより、天然の歯に近い状態を再現できます。

arrowBEFORE

BEFORE
arrow

arrowAFTER

AFTER
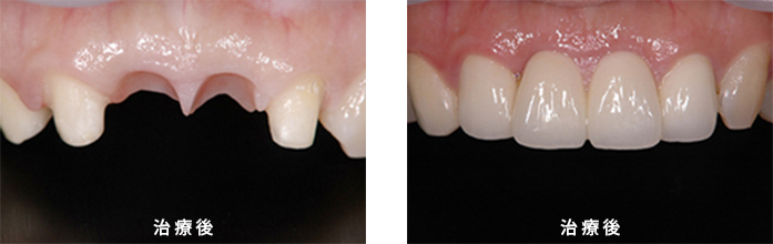
bug CASE

ブリッジ

前歯1本を失われブリッジを入れていましたが隙間から虫歯になってしまいました。
そのブリッジは20年使用されたそうです!きちんと治療をすればブリッジだって長く使用していただけます。ブリッジの土台となる歯をしっかり治療してブリッジを作り替えました。
土台を含めて一切金属は使用していません!どの歯にブリッジ被さっているかわかりますか?今度は30年を目指しましょう。

arrowBEFORE

BEFORE
arrow

arrowAFTER

AFTER
bug CASE

ラミネートベニア

生まれつきの歯の変色や過去に歯の表面をプラスティックなどで治療してあり、見た目が悪くなってきたという方にお勧めの治療で、基本的に神経は取らずに、歯の表側を一層削らせてもらい、セラミックの詰め物を貼り付けます。

arrowBEFORE

BEFORE
arrow

arrowAFTER

AFTER

arrowBEFORE

BEFORE
arrow

arrowAFTER

AFTER
bub CASE

セラミック

飛び出ていた前歯を改善。術後は審美的効果の向上も期待できます。

arrowBEFORE

BEFORE
arrow

arrowAFTER

AFTER
bub CASE

ホワイトニング

歯は削りたくないけれど白くしたいという方に、また、被せ物をしなければならないけれど、かぶせない自分の歯も含めて白くしたいという方にお勧めです。
当院では、より美しくつややかに白い歯にしていくために、ご自宅でしていただくホームホワイトニングをお勧めしております。

arrowBEFORE

BEFORE
arrow

arrowAFTER

AFTER

トップに戻る

料金を確認する
料金表-Price List-
項目 費用
PMTC(30分) ¥5,500
メンテナンスプログラム(90分) ¥16,500
ホワイトニングキット(ジェル4本) ¥40,000
追加 ホワイトニングジェル1本 ¥3,240

※ 表示の治療費には消費税等が含まれます。

 

この記事が気に入ったら
いいね!しよう

最新情報をお届けします